goodshot

Endometrium-KarzinomProgesteron-Therapie verschlechtert Outcome

Erkranken Frauen noch im gebärfähigen Alter an Endometriumkrebs, spielt das Thema Fruchtbarkeit eine tragende Rolle. Entscheiden sich die Patientinnen für eine uteruserhaltende Therapie mit Progesteron, verzögert sich jedoch die anschließende definitive Therapie, die Hysterektomie. Und das hat seinen Preis: Das Überleben dieser Frauen nimmt ab,…

Günther Menzl - Fotolia.com

Empathie ist wichtig – und fällt doch sehr unterschiedlich aus

Frauen sind empathischer als Männer – das macht sich offenbar auch im Rahmen des Heilberufes bemerkbar. Und: Länderunterschiede scheint es auch zu geben. Britische Ärzte werden beispielsweise als empathischer empfunden als Ärzte aus Hong Kong.

Frühe Menarche, kürzere Schulzeit

Je früher Mädchen in die Pubertät kommen, desto eher ist ihr Gehirn auch anfällig für hormonelle Einflüsse. Dies macht sich offenbar auch darin bemerkbar, wie lange sie die Schulbank drücken: bei einer frühen Menarche verlassen Mädchen die Bildungsanstalt auch schneller.

thodonal/stock.adobe.com

Ärzte-PaareAuch im 21. Jahrhundert bleibt die Rollenverteilung klassisch

Das Thema Gleichberechtigung hat viele Facetten: Sie beginnt mit der Bezahlungslücke zwischen Mann und Frau und endet in den eigenen 4 Wänden. Das ist offenbar auch bei Ärzte-Paaren nicht anders. Denn sobald Kinder da sind, bleibt die Frau eher zuhause. Die Arbeitsstunden des Mannes ändern sich dagegen nicht.

andifink - Fotolia.com

Pille schützt vor Arthrose

Da bis zu dreimal mehr Frauen als Männer unter Arthrose leiden, gibt es schon lange die Vermutung, dass Geschlechtshormone bei der Entstehung eine Rolle spielen. In diesem Zusammenhang haben schwedische Forscher die Rolle der Pille untersucht und stellten fest: Anwenderinnen erkranken tatsächlich seltener an der Autoimmunerkrankung.

udra11/stock.adobe.com

SchwangerschaftDiät und Sport von Vorteil

Besser spät als nie. Übergewichtige Schwangere, die ihre Ernährung umstellen und beginnen, regelmäßig Sport zu treiben, verringern die schwangerschaftsbedingte Gewichtszunahme und dadurch auch die Wahrscheinlichkeit eines Kaiserschnitts.

Halfpoint/stock.adobe.com

Gestörte ImpulskontrolleFolgen erhöhter Entzündungswerte in der Schwangerschaft

Wissenschaftler der Charité – Universitätsmedizin Berlin haben nachgewiesen, dass aufgrund erhöhter Entzündungswerte während der Schwangerschaft Veränderungen im Gehirn des Ungeborenen entstehen können. Diese wiederum könnten das Risiko der Ausprägung von psychiatrischen Erkrankungen steigern.

Pires et al - Thieme Verlag

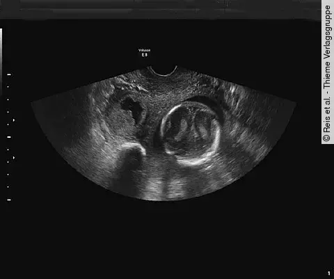
Quiz der WocheWas entdecken Sie im Farb-Doppler?

Sie führen routinemäßig einen Ultraschall bei dieser Schwangeren in der 28. SSW durch. Dabei entdecken Sie folgendes (Bildergalerie): Sie haben daraufhin einen bestimmten Verdacht.

ISO K Medien GmbH/stock.adobe.com

Mütter erleben Geburt negativer als Väter

Lässt sich die postpartale psychologische Konstitution der Eltern abschätzen? Ja, sagt eine Schweizer Studie: Depressive Symptome, die während der Schwangerschaft auftreten, und das persönliche Erleben der Geburt geben bereits entscheidende Hinweise.

rogerphoto/stock.adobe.com

Peripartale KardiomyopathieKontrazeptionsberatung weist Lücken auf

Eine US-amerikanische Studie befragte Frauen, bei denen eine peripartale Kardiomyopathie aufgetreten war, nach deren Verhütungsstrategien. Fazit: Offenbar bedürfen sowohl Quantität als auch Qualität der Beratungsgespräche einer Verbesserung.

psdesign1 - Fotolia.com

PanoramaEisenmangelstudie - Teilnehmerinnen gesucht

Die Universität des Saarlandes überprüft in einer Studie, inwieweit die am Markt verfügbaren Eisenpräparate Eisen-Carboxymaltose und Eisen(III)-Derisomaltose den Phosphathaushalt beeinflussen. Die Studie wird in der Klinik für Innere Medizin IV des Universitätsklinikums des Saarlandes unter der Leitung von Prof. Dr. Gunnar Heine durchgeführt.