Sohn C et al. – Thieme 2018

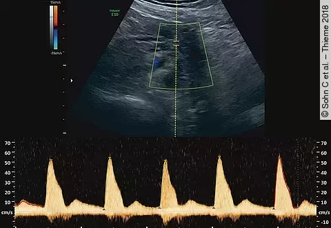
Doppler-Quiz26-jährige II.-Gravida I.-Para bei 21 + 6 SSW

Vorgeschichte: Z. n. Sectio bei 25 + 0 SSW bei schwerer Plazentainsuffizienz in der letzten Schwangerschaft. Die Patientin nahm aufgrund der Plazentainsuffizienz in der letzten Schwangerschaft Aspirin 100 1 × tgl. ein. Die Thrombophilie-Abklärung sei unauffällig gewesen.

Ramona Heim/stock.adobe.com

Mehr Fast-Food und weniger ObstZeitspanne bis zur Empfängnis etwas länger

Frauen mit Kinderwunsch sollten sich möglichst Obst-reich ernähren und wenig Fertiglebensmittel konsumieren. Soweit, so klar. Nun haben Jessica Grieger et al. die Ernährungsgewohnheiten mit der Zeit bis zur Empfängnis verglichen und geben der Thematik damit eine weitere Kennzahl: um bis zu einen knappen Monat kann sich eine Empfängnis bei…

meenon - AdobeStock (Symbolbild)

Pap-Test: Doch nicht so genau?

Man könnte meinen, dass Pap-Tests von Frauen, die ein diagnostiziertes Zervixkarzinom haben, kurz vor der Diagnose ziemlich eindeutig ausfallen: nämlich positiv. Aber das Gegenteil ist der Fall. Zumindest in dieser retrospektiven Kohortenstudie: hier waren invasive Karzinome tatsächlich eher mit einer vorangegangenen falsch-negativen Zytologie…

Universitätsklinikum Ulm

Brustrekonstruktion mit Eigengewebe

Ein Jahr erfolgreiche Kooperation der Universitätsfrauenklinik Ulm mit renommiertem plastischen Chirurgen aus Düsseldorf.

morganka/stock.adobe.com

Beeinträchtigt eine Abtreibung wirklich die Psyche?

Nicht nur in den USA wird das Thema Abtreibung kontrovers diskutiert – dort jedoch wird der Zugang zur Abtreibung staatlich strenger reglementiert mit der Begründung, dass eine Abtreibung die mentale Gesundheit der Frauen beeinträchtige. Ob ein solcher Eingriff wirklich einen schwerwiegenden Effekt auf die geistige Gesundheit der Frauen hat, haben…

kolinko_tanya/stock.adobe.com

Lebensqualität nach Brustkrebs

 Fünf Jahre nach der Diagnose hat sich die Lebensqualität von Brustkrebsüberlebenden weitestgehend wieder den Werten der Allgemeinbevölkerung angeglichen, ermittelten Wissenschaftler im Deutschen Krebsforschungszentrum. Allerdings litten die Betroffenen weiterhin signifikant stärker unter Schlafproblemen, kognitiven Beeinträchtigungen und unter…

princeoflove - AdobeStock / bearbeitet: Ko,zic

Community-PodcastSchlafapnoe bei Schwangeren

Willkommen zu unserem Community-Podcast Wissen einfach hören! Wir freuen uns, Ihnen über dieses Audioformat spannende Themenfelder aus der Geburtshilfe und Frauenheilkunde auf lockere "To-Go"-Weise vorstellen zu dürfen.

dietwalther - AdobeStock

Endokrine DisruptorenNeurodegenerative Auswirkung über Generationen

Die Daten der Nurses Health Study ermöglichen es, repräsentative Beobachtungen zwischen Ursache und Wirkung zu erhalten. So auch in diesem Fall: erstmals konnte ein Forscherteam ermitteln, wie sich die Einnahme eines einst gängigen Medikaments auf die neurologische Entwicklung über mehrere Generationen hinweg auswirkt. So erhöht sich bis in die…

studiostoks/stock.adobe.com

Widersprüchlicher StressBrustkrebsrisiko steigt oder sinkt – je nach Stressauslöser

Stress ist ein Lebensumstand, dem man kaum zu entkommen scheint. Umso schlimmer, dass er richtig schädlich für unsere Gesundheit ist, wenn wir ihm lange genug ausgesetzt sind. So verändert sich beispielsweise auch das Brustkrebsrisiko, wie amerikanische Forscher nun herausgefunden haben. Allerdings – und das ist das Paradoxe – in beide Richtungen.

AngelaStolle - Fotolia.com (Symbolbild)

FruchtbarkeitstherapieDepression der Eltern wirkt sich unterschiedlich auf Fruchtbarkeit aus

Man könnte meinen, dass Frauen, die unter schweren Depressionen leiden, Probleme haben, schwanger zu werden. Vor allem wenn sie bereits eine Fruchtbarkeitstherapie (Clomifen oder Letrozol) erhalten. Doch dem ist nicht so. Stattdessen wirkt sich eine Depression des männlichen Partners auf die Empfängniswahrscheinlichkeit aus.

Vaginalgeburt nach Sectio birgt Gefahren für Mutter und Kind

Zwar heißt es zunehmend, dass Frauen wieder zurück zur natürlichen Geburt finden sollen statt vorschnell einen Kaiserschnitt zu wählen. Doch bei Folgeschwangerschaften nach einer solchen Sectio scheint es sinnvoll, diese Geburtsmethode zu wiederholen. Denn: In dieser Kohorte war eine erhöhte mütterliche und kindliche Morbiditätsrate bei…

DGS-KongressberichtPrävention des Mammakarzinoms durch Bewegung

Wir alle wissen, dass ein gesunder Lebensstil förderlich ist, wenn man möglichst lange möglichst gesund bleiben möchte. Dass ausreichend Bewegung und eine pflanzenreiche Ernährung zuträglich sind, ist bekannt und logisch. Aber wie groß der Einfluss eines solchen Lebensstils auf das Krebsrisiko hat, wurde jetzt in einer Studie von Islami F et al.1

zayacsk - Fotolia.com

Brustkrebs-VerdachtBis zu 45 Prozent mehr Tumore per Ultraschall entdecken

Brustkrebs?! Sobald dieser Verdacht besteht, ist die Sorge bei Patientinnen groß. Bei einer frühen Diagnose sind die Heilungschancen zwar recht hoch, jedoch bleiben viele Tumore zu lange unentdeckt. Das Problem: Mit der Röntgenuntersuchung der Brust – dem hierzulande häufigsten Diagnoseverfahren – kann ein Großteil der sogenannten Mammakarzinome…

KelCon GmbH

DGS KongressberichtNie mehr guter Sex nach Mamma-Ca? Fakten und Mythen

Krebs ist nach wie vor die Krankheit mit dem schlechtesten Image: die ersten Assoziationen, die mit der Diagnosemitteilung aufkommen, sind Tod, Leid, Siechtum, Sterben, Isolation und Abhängigkeit. Die körperliche Integrität der Frau geht verloren, und das körpergebundene Selbstbewusstsein wird erschüttert. Das hat auch Folgen für das Sexualleben…