iaremenko/stock.adobe.com

Endometriose-Patientinnen leiden häufiger unter Migräne

Manchmal kommt alles zusammen – dieses Gefühl haben viele schon im Alltag, wenn gleich mehrere Dinge schieflaufen. Doch das etwas flapsige Sprichwort trifft auch bei Krankheiten zu – so zumindest bei Endometriose-Patientinnen: Sie leiden mehr als doppelt so häufig unter Migräne als andere Frauen. Zudem fallen ihre Regelschmerzen dann noch schlimmer…

Bickelhaupt/DKFZ

BrustkrebsWie bildgebende Verfahren unnötige Biopsien vermeiden können

Die Diagnostik von Brustkrebs zu verbessern ist das erklärte Ziel eines Forscherteams vom Deutschen Krebsforschungszentrum in Heidelberg. Die Wissenschaftler kombinieren eine Weiterentwicklung der diffusionsgewichteten Magnetresonanztomografie mit intelligenten Bildanalyseverfahren, um bösartige Veränderungen im Gewebe aufzuspüren. Diese Methode…

DKFZ

Neuer Impfstoff gegen Gebärmutterhalskrebs

Ein neuer Impfstoff gegen krebserregende humane Papillomviren (HPV) soll vor allem in Ländern der Dritten Welt dazu beitragen, die Rate an HPV-Impfungen zu steigern. Am Deutschen Krebsforschungszentrum (DKFZ) haben Wissenschaftler ein völlig neues Impfkonzept entwickelt. Die Vakzine ist kostengünstig und schützt vor fast allen krebserregenden…

Marc Dietrich/stock.adobe.com

Postmenopausale FrauenBMI ist kein valider Adipositas-Indikator

Der BMI gilt trotz zunehmend kritischer Stimmen immer noch als DER Gewichtsfaktor schlechthin. Doch unter bestimmten Lebensumständen oder in bestimmen Lebensabschnitten ist der BMI sogar irreführend, sagen Hailey Banack et al.. Zumindest nach der Menopause sollte viel eher die Körperzusammensetzung gemessen werden, um eine zuverlässige…

a_khachatryan - AdobeStock

Schizophrenie begünstigt Brustkrebs – oder doch nicht?

Zu etwas widersprüchlichen Ergebnissen kommt eine Metaanalyse von chinesischen Psychiatern: Sie wollten klären, ob schizophrene Frauen unter einem erhöhten Brustkrebsrisiko leiden. Nach ihren Ergebnissen deutet zwar alles auf ein signifikant erhöhtes Risiko hin – gleichzeitig legen große Varianzen zwischen den untersuchten Studien nahe, dass diese…

Universitätsklinikum Münster

Entdeckte Brustkrebsvorstufen im Mammographie-Screening meist aggressiv

Das im Zweijahresintervall durchgeführte Mammographie-Screening hat unter den Brustkrebsvorstufen als häufigste Diagnose die biologisch aggressivste Form ermittelt. Das duktale Carcinoma in situ vom hohen Kernmalignitätsgrad trägt das höchste Risiko zum Übergang in ein „invasives Karzinom“ – einen bösartigen Tumor, der in das umliegende Gewebe…

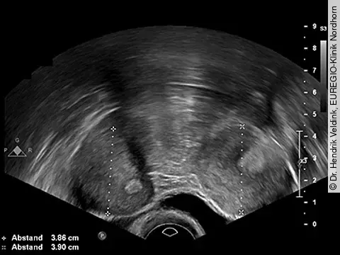
Dr. Hendrik Veldink, EUREGIO-Klinik Nordhorn

QuizAuflösung: Uterusanomalie im transvaginalen Ultraschall

Zu sehen ist ein Uterus bicornis mit einer echoleeren Formation im rechten Uterushorn, bei der es sich um eine Fruchthöhle einer Frühschwangerschaft handeln kann. Im linken Uterushorn ist eine mittelechodichte Formation im Uteruscavum zu sehen, die einem Hämatom entsprechen könnte.

Natalia Klenova/stock.adobe.com

Frohe Ostern!

Wir wünschen Ihnen und Ihrer Familie ein schönes und erholsames Osterfest!

juefraphoto - AdobeStock

Oster-QuizHören Sie genau hin – und gewinnen Sie!

Hmm… lecker, so ein reich gedeckter Frühstückstisch lädt zum Schlemmen und Wohlfühlen ein. Natürlich haben wir uns auch dieses Jahr ein Osterspecial für Sie ausgedacht. Spitzen Sie also die Ohren und hören Sie in unseren Osterpodcast rein – es soll sich für Sie lohnen!

Black Brush/stock.adobe.com

Postnatale DepressionSchwere Form kann über ein Jahrzehnt andauern

In Ländern mit hohem Durchschnittseinkommen leiden etwa 10% aller Mütter unter einer postnatalen Depression (PND). In Ländern mit geringerem Einkommen sogar mehr. In jedem Fall ist es ein kritisches Problem, das sich sowohl auf die Mutter als auch auf ihr(e) Kind(er) auswirkt. Schwere, anhaltende Formen der PND halten sich sogar bis zu 11 Jahre.…

Nenov Brothers - Fotolia.com (Symbolbild)

Späte Schwangerschaft erhöht Frühgeburtsrisiko

Immer häufiger entscheiden sich Frauen erst im Laufe ihrer 30er-Jahre zu einer Schwangerschaft. Die Wissenschaft mutmaßt, dass ein höheres Alter dabei auch mit Risiken wie z.B. einem erhöhten Frühgeburtsrisiko einhergeht. Ob das aber wirklich so ist, haben kanadische Forscher nun anhand einer großen randomisierten Studie untersucht. Dabei kommen…